-

专业包装 正品保证
-

快乐服务 售后无忧
-

会员特权 优惠不断
-

个人信息 严格保护
| 别名: | ATP citrate lyase | ||
|---|---|---|---|
| 适用物种: | Human,Mouse,Rat | ||
| 验证应用: | WB,ICC,IHC-P,FC | ||
| 种属: | 兔多抗 | ||
| 储存条件: | -20℃ | ||
|
| 货号 | 规格 | 可用库存 | 销售价(RMB) | 您的折扣价(RMB) | 购买数量 |
|---|
| 熔点: | |
|---|---|
| 密度: | |
| 储存条件: | -20℃ |
Anti-ATP citrate lyase antibody
WB: 1:500
ICC: 1:50-1:200
IHC-P: 1:50-1:200
FC: 1:50-1:100

Fig1: Western blot analysis of ATP citrate lyase on mouse pancreas tissue (1) and NIH-3T3 cell (2) lysate using anti-ATP citrate lyase antibody at 1/200 dilution.

Fig2: ICC staining ATP citrate lyase in A549 cells (green). The nuclear counter stain is DAPI (blue). Cells were fixed in paraformaldehyde, permeabilised with 0.25% Triton X100/PBS.

Fig3: ICC staining ATP citrate lyase in SH-SY5Y cells (green). The nuclear counter stain is DAPI (blue). Cells were fixed in paraformaldehyde, permeabilised with 0.25% Triton X100/PBS.

Fig4: Immunohistochemical analysis of paraffin-embedded rat brain tissue using anti-ATP citrate lyase antibody. Counter stained with hematoxylin.

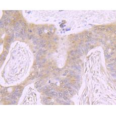
Fig5: Immunohistochemical analysis of paraffin-embedded human colon cancer tissue using anti-ATP citrate lyase antibody. Counter stained with hematoxylin.

Fig6: Immunohistochemical analysis of paraffin-embedded human pancreas tissue using anti-ATP citrate lyase antibody. Counter stained with hematoxylin.

Fig7: Immunohistochemical analysis of paraffin-embedded mouse testis tissue using anti-ATP citrate lyase antibody. Counter stained with hematoxylin.

Fig8: Flow cytometric analysis of A549 cells with ATP citrate lyase antibody at 1/100 dilution (red) compared with an unlabelled control (cells without incubation with primary antibody; black). Alexa Fluor 488-conjugated goat anti rabbit IgG was used as t
特别提示:本公司的所有产品仅可用于科研实验,严禁用于临床医疗及其他非科研用途!