-

专业包装 正品保证
-

快乐服务 售后无忧
-

会员特权 优惠不断
-

个人信息 严格保护
| 货号 | 规格 | 可用库存 | 销售价(RMB) | 您的折扣价(RMB) | 购买数量 |
|---|
| 熔点: | |
|---|---|
| 密度: | |
| 储存条件: | -20℃ |
Anti-KV4.3 antibody
WB: 1:500-1:1,000
ICC: 1:200
IHC-P: 1:50-1:200
FC: 1:50-1:100

Fig1: Western blot analysis of Kv4.3 on different lysates using anti-Kv4.3 antibody at 1/1,000 dilution.
Positive control:
Lane 1: MCF-7
Lane 2: Mouse marrow

Fig2: ICC staining Kv4.3 in LOVO cells (green). The nuclear counter stain is DAPI (blue). Cells were fixed in paraformaldehyde, permeabilised with 0.25% Triton X100/PBS.

Fig3: ICC staining Kv4.3 in MCF-7 cells (green). The nuclear counter stain is DAPI (blue). Cells were fixed in paraformaldehyde, permeabilised with 0.25% Triton X100/PBS.

Fig4: ICC staining Kv4.3 in MG-63 cells (green). The nuclear counter stain is DAPI (blue). Cells were fixed in paraformaldehyde, permeabilised with 0.25% Triton X100/PBS.

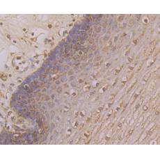
Fig5: Immunohistochemical analysis of paraffin-embedded human esophagus tissue using anti-Kv4.3 antibody. Counter stained with hematoxylin.

Fig6: Immunohistochemical analysis of paraffin-embedded human placenta tissue using anti-Kv4.3 antibody. Counter stained with hematoxylin.

Fig7: Immunohistochemical analysis of paraffin-embedded mouse cerebellum tissue using anti-Kv4.3 antibody. Counter stained with hematoxylin.

Fig8: Flow cytometric analysis of MG-63 cells with Kv4.3 antibody at 1/100 dilution (purple) compared with an unlabelled control (cells without incubation with primary antibody; yellow). Alexa Fluor 488-conjugated goat anti-rabbit IgG was used as the seco
特别提示:本公司的所有产品仅可用于科研实验,严禁用于临床医疗及其他非科研用途!