-

专业包装 正品保证
-

快乐服务 售后无忧
-

会员特权 优惠不断
-

个人信息 严格保护
| 别名: | TREM2 | ||
|---|---|---|---|
| 适用物种: | Human,Mouse,Rat,Dog,Pig,Cow,Horse | ||
| 验证应用: | WB,IHC-P | ||
| 种属: | 兔多抗 | ||
| 储存条件: | -20℃ | ||
|
| 货号 | 规格 | 可用库存 | 销售价(RMB) | 您的折扣价(RMB) | 购买数量 |
|---|
| 熔点: | |
|---|---|
| 密度: | |
| 储存条件: | -20℃ |
Anti-TREM2 antibody
WB:1:500-2000
IHC-P:1:400-800

Fig1: Sample: Raji Cell lysate at 30ug;
Primary: Anti-TREM2( at 1:300 dilution;
Secondary: HRP conjugated Goat-Anti-rabbit IgG(bs-0295G-HRP) at 1: 5000 dilution;
Predicted band size: 23 kD
Observed band size: 23 kD

Fig2: Sample:
MCF-7 Cell (Human) Lysate at 30 ug
Primary: Anti-TREM2 at 1/300 dilution
Secondary: IRDye800CW Goat Anti-Rabbit IgG at 1/20000 dilution
Predicted band size: 23 kD
Observed band size: 23 kD

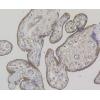
Fig3: Paraformaldehyde-fixed, paraffin embedded (mouse brain); Antigen retrieval by boiling in sodium citrate buffer (pH6.0) for 15min; Block endogenous peroxidase by 3% hydrogen peroxide for 20 minutes; Blocking buffer (normal goat serum) at 37℃ for 30min; Antibody incubation with (TREM2) Polyclonal Antibody, Unconjugated at 1:200 overnight at 4℃, followed by operating according to SP Kit(Rabbit) (sp-0023) instructionsand DAB staining.

Fig4: Sample:
MCF-7(Human) Cell Lysate at 30 ug
Raw264.7(Mouse) Cell Lysate at 30 ug
Primary: Anti- TREM2 at 1/1000 dilution
Secondary: IRDye800CW Goat Anti-Rabbit IgG at 1/20000 dilution
Predicted band size: 23 kD
Observed band size: 20 kD

Fig5: Paraformaldehyde-fixed, paraffin embedded (Rat brain); Antigen retrieval by microwave in sodium citrate buffer (pH6.0) ; Block endogenous peroxidase by 3% hydrogen peroxide for 30 minutes; Blocking buffer (3% BSA) at RT for 30min; Antibody incubation with (TREM2) Polyclonal Antibody, Unconjugated ( at 1:400 overnight at 4℃, followed by conjugation to the secondary antibody (labeled with HRP)and DAB staining.
特别提示:本公司的所有产品仅可用于科研实验,严禁用于临床医疗及其他非科研用途!