Anti-ddx24 antibody [A3B11]
-
概述
- 产品描述ATP-dependent RNA helicase DDX24 is an enzyme that in humans is encoded by the DDX24 gene. DEAD box proteins, characterized by the conserved motif Asp-Glu-Ala-Asp (DEAD), are putative RNA helicases. They are implicated in a number of cellular processes involving alteration of RNA secondary structure such as translation initiation, nuclear and mitochondrial RNA splicing, and ribosome and spliceosome assembly. Based on their distribution patterns, some members of this family are believed to be involved in embryogenesis, spermatogenesis, and cellular growth and division. This gene encodes a DEAD box protein, which shows little similarity to any of the other known human DEAD box proteins, but shows a high similarity to mouse Ddx24 at the amino acid level.
- 产品名称Anti-ddx24 antibody [A3B11]
- 分子量94 kDa
- 种属反应性Zebrafish
- 验证应用IHC-P
- 抗体类型小鼠单抗
- 免疫原Recombinant protein within zebrafish ddx24 aa 550-820.
- 偶联Non-conjugated
-
性能
- 形态Liquid
- 浓度2 mg/mL.
- 存放说明Store at +4℃ after thawing. Aliquot store at -20℃. Avoid repeated freeze / thaw cycles.
- 存储缓冲液1*PBS (pH7.4), 0.2% BSA, 50% Glycerol. Preservative: 0.05% Sodium Azide.
- 亚型IgG2a
- 纯化方式Protein G affinity purified.
- 亚细胞定位Nucleolus.
- 其它名称
- DEAD (Asp-Glu-Ala-Asp) box helicase 24
- ddx24
-
-
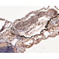
Fig1: Immunohistochemical analysis of paraffin-embedded zebrafish tissue using anti-ddx24 antibody. The section was pre-treated using heat mediated antigen retrieval with sodium citrate buffer (pH 6.0) for 20 minutes. The tissues were blocked in 5% BSA for 30 minutes at room temperature, washed with ddH2O and PBS, and then probed with the primary antibody ( for 30 minutes at room temperature. The detection was performed using an HRP conjugated compact polymer system. DAB was used as the chromogen. Tissues were counterstained with hematoxylin and mounted with DPX.
特别提示:本公司的所有产品仅可用于科研实验,严禁用于临床医疗及其他非科研用途!