Anti-KIM1 antibody [AH24-32]
-
概述
- 产品描述May play a role in T-helper cell development and the regulation of asthma and allergic diseases. Receptor for TIMD4 (By similarity). May play a role in kidney injury and repair. (Microbial infection) Acts as a receptor for hepatitis A virus. Acts as a receptor for ebolavirus and marburg virus by binding exposed phosphatidyl-serine at the surface of virion membrane. Acts as a receptor for Dengue virus by binding exposed phosphatidyl-serine at the surface of virion membrane.
- 产品名称Anti-KIM1 antibody [AH24-32]
- 分子量39 kDa
- 种属反应性Human
- 验证应用ELISA,WB,ICC,IHC-P
- 抗体类型小鼠单抗
- 免疫原recombinant protein
- 偶联Non-conjugated
-
性能
- 形态Liquid
- 浓度2 mg/mL.
- 存放说明Store at -20 ℃. Stable for 12 months from date of receipt.
- 存储缓冲液1*TBS (pH7.4), 1%BSA, 40%Glycerol. Preservative: 0.12% Sodium Azide.
- 亚型IgG1
- 亚细胞定位Membrane
- 其它名称
- CD365 HAVCR HAVCR 1 HAVcr-1 Havcr1 Hepatitis A virus cellular receptor 1 Kidney injury molecule 1 KIM 1 KIM-1 T cell immunoglobin domain and mucin domain protein 1 T cell immunoglobulin mucin family member 1 T cell immunoglobulin mucin receptor 1 T-cell immunoglobulin and mucin domain-containing protein 1 T-cell membrane protein 1 TIM TIM-1 TIM1 TIMD 1 TIMD-1 TIMD1 TIMD1_HUMAN
-
应用
WB: 1:500-1:1,000
ICC: 1:50-1:200
IHC-P: 1:50-1:200
ELISA: 1:5,000-1:10,000
-
Fig1: ICC staining KIM1 in Hela cells (red). The nuclear counter stain is DAPI (blue). Cells were fixed in paraformaldehyde, permeabilised with 0.25% Triton X100/PBS.
Fig2: ICC staining KIM1 in PC-12 cells (green). The nuclear counter stain is DAPI (blue). Cells were fixed in paraformaldehyde, permeabilised with 0.25% Triton X100/PBS.
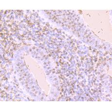
Fig3: Immunohistochemical analysis of paraffin-embedded human uterus tissue using anti-KIM1 antibody. Counter stained with hematoxylin.
Fig4: Immunohistochemical analysis of paraffin-embedded human kidney tissue using anti-KIM1 antibody. Counter stained with hematoxylin.
特别提示:本公司的所有产品仅可用于科研实验,严禁用于临床医疗及其他非科研用途!