-

专业包装 正品保证
-

快乐服务 售后无忧
-

会员特权 优惠不断
-

个人信息 严格保护
| 货号 | 规格 | 可用库存 | 销售价(RMB) | 您的折扣价(RMB) | 购买数量 |
|---|
| 熔点: | |
|---|---|
| 密度: | |
| 储存条件: | -20℃ |
Anti-ABCG5 antibody [E10-B5]
产品描述The protein encoded by this gene is a member of the superfamily of ATP-binding cassette (ABC) transporters. ABC proteins transport various molecules across extra- and intra-cellular membranes. ABC genes are divided into seven distinct subfamilies (ABC1, MDR/TAP, MRP, ALD, OABP, GCN20, White). This protein is a member of the White subfamily. The protein encoded by this gene functions as a half-transporter to limit intestinal absorption and promote biliary excretion of sterols. It is expressed in a tissue-specific manner in the liver, colon, and intestine. This gene is tandemly arrayed on chromosome 2, in a head-to-head orientation with family member ABCG8. Mutations in this gene may contribute to sterol accumulation and atheroschlerosis, and have been observed in patients with sitosterolemia.
产品名称Anti-ABCG5 antibody [E10-B5]
分子量72 kDa
种属反应性Human
验证应用WB,IHC-P,FC
抗体类型小鼠单抗
免疫原Recombinant protein
偶联Non-conjugated
形态Liquid
浓度2 mg/mL.
存放说明Store at +4℃ after thawing. Aliquot store at -20℃ or -80℃. Avoid repeated freeze / thaw cycles.
存储缓冲液1*TBS (pH7.4), 1%BSA, 40%Glycerol. Preservative: 0.05% Sodium Azide.
亚型IgG1
纯化方式Protein A purified.
亚细胞定位Membrane.
其它名称
Abcg5 antibody
ABCG5_HUMAN antibody
ATP binding cassette sub family G (WHITE) member 5 (sterolin 1) antibody
WB: 1:500-1:1,000
IHC-P: 1:200-1:500
FC: 1:100-1:200

Fig1: Western blot analysis of ABCG5 on human ABCG5 recombinant protein using anti-ABCG5 antibody at 1/1,000 dilution.

Fig2: Western blot analysis of ABCG5 on HEK293 (1) and ABCG5-hIgGFc transfected HEK293 (2) cell lysate using anti-ABCG5 antibody at 1/1,000 dilution.

Fig3: Western blot analysis of ABCG5 on different cell lysate using anti-ABCG5 antibody at 1/1,000 dilution.
Positive control: Line1: HL7702 Line2: Raji Line3: Jurkat

Fig4: Immunohistochemical analysis of paraffin-embedded human cervical cancer tissue using anti-ABCG5 antibody. Counter stained with hematoxylin.

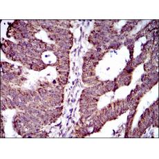
Fig5: Immunohistochemical analysis of paraffin-embedded human rectum cancer tissue using anti-ABCG5 antibody. Counter stained with hematoxylin.

Fig6: Flow cytometric analysis of A549 cells with ABCG5 antibody at 1/100 dilution (green) compared with an unlabelled control (cells without incubation with primary antibody; red).
特别提示:本公司的所有产品仅可用于科研实验,严禁用于临床医疗及其他非科研用途!