-

专业包装 正品保证
-

快乐服务 售后无忧
-

会员特权 优惠不断
-

个人信息 严格保护
| 别名: | EZH1 | ||
|---|---|---|---|
| 适用物种: | Human,Mouse,Rat,Chicken,Dog,Pig,Cow,Rabbit,Guinea Pig | ||
| 验证应用: | WB,IHC-P | ||
| 种属: | 兔多抗 | ||
| 储存条件: | -20℃ | ||
|
| 货号 | 规格 | 可用库存 | 销售价(RMB) | 您的折扣价(RMB) | 购买数量 |
|---|
| 熔点: | |
|---|---|
| 密度: | |
| 储存条件: | -20℃ |
Anti-EZH1 antibody
WB:1:500-2000
IHC-P:1:400-800

Fig1: Sample:
293T(Human) Cell Lysate at 30 ug
Primary: Anti-EZH1 (at 1/1000 dilution
Secondary: IRDye800CW Goat Anti-Rabbit IgG at 1/20000 dilution
Predicted band size: 85 kD
Observed band size: 76 kD

Fig2: Paraformaldehyde-fixed, paraffin embedded (Rat lung); Antigen retrieval by boiling in sodium citrate buffer (pH6.0) for 15min; Block endogenous peroxidase by 3% hydrogen peroxide for 20 minutes; Blocking buffer (normal goat serum) at 37℃ for 30min; Antibody incubation with (EZH1) Polyclonal Antibody, Unconjugated at 1:400 overnight at 4℃, followed by operating according to SP Kit(Rabbit) (sp-0023) instructionsand DAB staining.

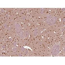
Fig3: Paraformaldehyde-fixed, paraffin embedded (Mouse brain); Antigen retrieval by boiling in sodium citrate buffer (pH6.0) for 15min; Block endogenous peroxidase by 3% hydrogen peroxide for 20 minutes; Blocking buffer (normal goat serum) at 37℃ for 30min; Antibody incubation with (EZH1) Polyclonal Antibody, Unconjugatedat 1:400 overnight at 4℃, followed by operating according to SP Kit(Rabbit) (sp-0023) instructionsand DAB staining.
特别提示:本公司的所有产品仅可用于科研实验,严禁用于临床医疗及其他非科研用途!