-

专业包装 正品保证
-

快乐服务 售后无忧
-

会员特权 优惠不断
-

个人信息 严格保护
| 别名: | D4S234E | ||
|---|---|---|---|
| 适用物种: | Human,Mouse,Rat,Chicken,Dog,Pig,Cow,Horse,Rabbit,Sheep | ||
| 验证应用: | WB,IHC-P | ||
| 种属: | 兔多抗 | ||
| 储存条件: | -20℃ | ||
|
| 货号 | 规格 | 可用库存 | 销售价(RMB) | 您的折扣价(RMB) | 购买数量 |
|---|
| 熔点: | |
|---|---|
| 密度: | |
| 储存条件: | -20℃ |
Anti-D4S234E antibody
WB:1:500-2000
IHC-P:1:400-800

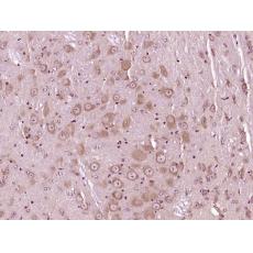
Fig1: Paraformaldehyde-fixed, paraffin embedded (Mouse brain); Antigen retrieval by boiling in sodium citrate buffer (pH6.0) for 15min; Block endogenous peroxidase by 3% hydrogen peroxide for 20 minutes; Blocking buffer (normal goat serum) at 37℃ for 30min; Antibody incubation with (D4S234E) Polyclonal Antibody, Unconjugatedat 1:400 overnight at 4℃, followed by operating according to SP Kit(Rabbit) (sp-0023) instructionsand DAB staining.

Fig2: Sample:
Hippocampus (Mouse) Lysate at 40 ug
Primary: Anti-D4S234Eat 1/1000 dilution
Secondary: IRDye800CW Goat Anti-Rabbit IgG at 1/20000 dilution
Predicted band size: 21 kD
Observed band size: 21 kD

Fig3: Sample:
Cerebral cortex (Mouse) Lysate at 40 ug
Primary: Anti-D4S234Eat 1/1000 dilution
Secondary: IRDye800CW Goat Anti-Rabbit IgG at 1/20000 dilution
Predicted band size: 21 kD
Observed band size: 21 kD

Fig4: Sample:
Cerebrum (Mouse) Lysate at 40 ug
Primary: Anti-D4S234Eat 1/1000 dilution
Secondary: IRDye800CW Goat Anti-Rabbit IgG at 1/20000 dilution
Predicted band size: 21 kD
Observed band size: 21 kD
特别提示:本公司的所有产品仅可用于科研实验,严禁用于临床医疗及其他非科研用途!
