-

专业包装 正品保证
-

快乐服务 售后无忧
-

会员特权 优惠不断
-

个人信息 严格保护
| 货号 | 规格 | 可用库存 | 销售价(RMB) | 您的折扣价(RMB) | 购买数量 |
|---|
| 熔点: | |
|---|---|
| 密度: | |
| 储存条件: | -20℃ |
Anti-DMT1 antibody
WB:1:500-2000
IHC-P:1:400-800
FC:1ug/Test

Fig1: Sample:
Adrenal glands (Mouse) Lysate at 40 ug
Primary: Anti-DMT1 at 1/300 dilution
Secondary: IRDye800CW Goat Anti-Rabbit IgG at 1/20000 dilution
Predicted band size: 62 kD
Observed band size: 64 kD

Fig2: Paraformaldehyde-fixed, paraffin embedded (Rat heart); Antigen retrieval by boiling in sodium citrate buffer (pH6.0) for 15min; Block endogenous peroxidase by 3% hydrogen peroxide for 20 minutes; Blocking buffer (normal goat serum) at 37℃ for 30min; Antibody incubation with (Divalent metal transporter 1; DMT1) Polyclonal Antibody, Unconjugatedat 1:400 overnight at 4℃, followed by a conjugated secondary antibody (sp-0023) for 20 minutes and DAB staining.

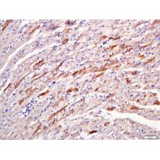
Fig3: Paraformaldehyde-fixed, paraffin embedded (Rat heart); Antigen retrieval by boiling in sodium citrate buffer (pH6.0) for 15min; Block endogenous peroxidase by 3% hydrogen peroxide for 20 minutes; Blocking buffer (normal goat serum) at 37℃ for 30min; Antibody incubation with (Divalent metal transporter 1; DMT1) Polyclonal Antibody, Unconjugated at 1:400 overnight at 4℃, followed by a conjugated secondary antibody (sp-0023) for 20 minutes and DAB staining.

Fig4: Paraformaldehyde-fixed, paraffin embedded (Rat heart); Antigen retrieval by boiling in sodium citrate buffer (pH6.0) for 15min; Block endogenous peroxidase by 3% hydrogen peroxide for 20 minutes; Blocking buffer (normal goat serum) at 37℃ for 30min; Antibody incubation with (DMT1) Polyclonal Antibody, Unconjugatedat 1:400 overnight at 4℃, followed by a conjugated secondary antibody (sp-0023) for 20 minutes and DAB staining.

Fig5: Blank control (Black line): Molt4 (Black).
Primary Antibody (green line):Rabbit Anti-DMT1 antibody
Dilution: 3μg /10^6 cells;
Isotype Control Antibody (orange line): Rabbit IgG .
Secondary Antibody (white blue line): Goat anti-rabbit IgG-AF647
Dilution: 3μg /test.
Protocol
The cells were fixed with 4% PFA (10min at room temperature)and then permeabilized with PBST for 20 min at room temperature. The cells were then incubated in 5%BSA to block non-specific protein-protein interactions for 30 min at room temperature .Cells stained with Primary Antibody for 30 min at room temperature. The secondary antibody used for 40 min at room temperature. Acquisition of 20,000 events was performed.

Fig6: Blank control:Molt-4.
Primary Antibody (green line): Rabbit Anti-DMT1 antibody
Dilution: 1μg /10^6 cells;
Isotype Control Antibody (orange line): Rabbit IgG .
Secondary Antibody : Goat anti-rabbit IgG-PE
Dilution: 1μg /test.
Protocol
The cells were fixed with 4% PFA (10min at room temperature)and then permeabilized with 20% PBST for 20 min at-20℃. The cells were then incubated in 5%BSA to block non-specific protein-protein interactions for 30 min at at room temperature .Cells stained with Primary Antibody for 30 min at room temperature. The secondary antibody used for 40 min at room temperature. Acquisition of 20,000 events was performed.
特别提示:本公司的所有产品仅可用于科研实验,严禁用于临床医疗及其他非科研用途!