-

专业包装 正品保证
-

快乐服务 售后无忧
-

会员特权 优惠不断
-

个人信息 严格保护
| 别名: | TPST1 | ||
|---|---|---|---|
| 适用物种: | Human,Mouse,Rat,Chicken,Dog,Pig,Cow,Horse,Rabbit | ||
| 验证应用: | WB,IHC-P | ||
| 种属: | 兔多抗 | ||
| 储存条件: | -20℃ | ||
|
| 货号 | 规格 | 可用库存 | 销售价(RMB) | 您的折扣价(RMB) | 购买数量 |
|---|
| 熔点: | |
|---|---|
| 密度: | |
| 储存条件: | -20℃ |
Anti-TPST1 antibody
WB:1:500-2000
IHC-P:1:400-800

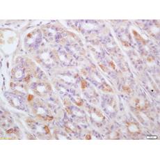
Fig1: Tissue/cell: mouse stomach tissue; 4% Paraformaldehyde-fixed and paraffin-embedded;
Antigen retrieval: citrate buffer ( 0.01M, pH 6.0 ), Boiling bathing for 15min; Block endogenous peroxidase by 3% Hydrogen peroxide for 30min; Blocking buffer (normal goat serum,C-0005) at 37℃ for 20 min;
Incubation: Anti-TPST1 Polyclonal Antibody, Unconjugated1:200, overnight at 4℃, followed by conjugation to the secondary antibody(SP-0023) and DAB(C-0010) staining

Fig2: Sample:
Cerebellum (Mouse) Lysate at 40 ug
Primary: Anti-TPST1 at 1/1000 dilution
Secondary: IRDye800CW Goat Anti-Rabbit IgG at 1/20000 dilution
Predicted band size: 41 kD
Observed band size: 51 kD
特别提示:本公司的所有产品仅可用于科研实验,严禁用于临床医疗及其他非科研用途!
