Anti-K2P4.1 antibody
-
概述
- 产品描述K2P4.1 (also named TWIK-related arachidonic acid stimulated K+ channel, TRAAK or KCNK4) is a member of the 2-pore (2P) domain K+ channels family that at the moment includes 15 members. These channels show little time or voltage dependence and are considered to be “leaky” or “background” K+ channels, thereby generating background currents which help set the membrane resting potential and cell excitation. The K2P channels have a signature topology that includes four transmembrane domains and two pore domains with intracellular N- and C- termini.
- 产品名称Anti-K2P4.1 antibody
- 分子量43 kDa
- 种属反应性Human,Mouse
- 验证应用WB,IHC-P,FC
- 抗体类型兔多抗
- 免疫原Synthetic peptide within human K2P4.1 aa 320-380.
- 偶联Non-conjugated
-
性能
- 形态Liquid
- 浓度1 mg/mL.
- 存放说明Store at +4℃ after thawing. Aliquot store at -20℃. Avoid repeated freeze / thaw cycles.
- 存储缓冲液1*PBS (pH7.4), 0.2% BSA, 50% Glycerol. Preservative: 0.05% Sodium Azide.
- 亚型IgG
- 纯化方式Peptide affinity purified.
- 亚细胞定位Cell membrane.
- 其它名称K2p4.1 antibody
K2P4.1 potassium channel antibody
KCNK 4 antibody
MGC144821 antibody
Potassium channel subfamily K member 4 antibody
Potassium inwardly rectifying channel subfamily K member 4 antibody
TRAAK antibody
TRAAK1 antibody
TRAAKt antibody
TWIK related arachidonic acid stimulated potassium channel protein antibody
Two pore K(+) channel KT4.1 antibody
Two pore K+ channel KT4.1 antibody
Two pore potassium channel KT4.1 antibody
more
-
应用
WB: 1:500
IHC-P: 1:50-1:200
FC: 1:50-1:100
-
Fig1: Western blot analysis of K2P4.1 on different lysates using anti-K2P4.1 antibody at 1/500 dilution.
Positive control:
Lane 1: Mouse colon
Lane 2: Rat kidney
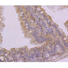
Fig2: Immunohistochemical analysis of paraffin-embedded rat large intestine tissue using anti-K2P4.1 antibody. Counter stained with hematoxylin.
Fig3: Immunohistochemical analysis of paraffin-embedded mouse colon tissue using anti-K2P4.1 antibody. Counter stained with hematoxylin.
Fig4: Flow cytometric analysis of HepG2 cells with K2P4.1 antibody at 1/100 dilution (purple) compared with an unlabelled control (cells without incubation with primary antibody; yellow). Alexa Fluor 488-conjugated goat anti-rabbit IgG was used as the secondary antibody.
特别提示:本公司的所有产品仅可用于科研实验,严禁用于临床医疗及其他非科研用途!