-

专业包装 正品保证
-

快乐服务 售后无忧
-

会员特权 优惠不断
-

个人信息 严格保护
| 货号 | 规格 | 可用库存 | 销售价(RMB) | 您的折扣价(RMB) | 购买数量 |
|---|
| 熔点: | |
|---|---|
| 密度: | |
| 储存条件: | -20℃ |
Anti-GPNMB antibody [E5-C10]
产品描述Transmembrane glycoprotein NMB (GPNMB), also designated hematopoietic growth factor inducible neurokinin-1 (HGFIN), is a single-pass type I membrane protein. Belonging to the Pmel-17/NMB family of proteins, GPNMB acts as a melanogenic enzyme. GPNMB expression is not restricted to cells of melanocytic lineage and is highest in poorly metastatic melanoma cell lines. There is no expression of GPNMB in highly metastatic melanoma cell lines. GPNMB may play a important role in lymphohematopoietic stem cell maturation.
产品名称Anti-GPNMB antibody [E5-C10]
分子量64 kDa
种属反应性Human
验证应用WB,IHC-P
抗体类型小鼠单抗
免疫原Recombinant protein
偶联Non-conjugated
形态Liquid
浓度2 mg/mL.
存放说明Store at +4℃ after thawing. Aliquot store at -20℃ or -80℃. Avoid repeated freeze / thaw cycles.
存储缓冲液1*TBS (pH7.4), 1%BSA, 40%Glycerol. Preservative: 0.05% Sodium Azide.
亚型IgG1
纯化方式Protein A purified.
亚细胞定位Membrane. Melanosome.
其它名称
Glycoprotein (transmembrane) nmb antibody
Glycoprotein nmb antibody
Glycoprotein nmb like protein antibody
WB: 1:500
IHC-P: 1:100-1:200

Fig1: Western blot analysis of GPNMB on human GPNMB recombinant protein using anti-GPNMB antibody at 1/1,000 dilution.

Fig2: Western blot analysis of GPNMB on HEK293 (1) and GPNMB-hIgGFc transfected HEK293 (2) cell lysate using anti-GPNMB antibody at 1/1,000 dilution.

Fig3: Western blot analysis of GPNMB on PANC-1 and PC-3 cell lysate using anti-GPNMB antibody at 1/1,000 dilution.

Fig4: Immunohistochemical analysis of paraffin-embedded human breast cancer tissue using anti-GPNMB antibody. Counter stained with hematoxylin.

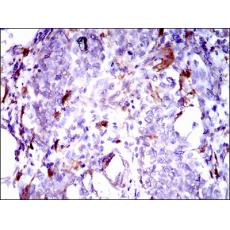
Fig5: Immunohistochemical analysis of paraffin-embedded human esophagus cancer tissue using anti-GPNMB antibody. Counter stained with hematoxylin.
特别提示:本公司的所有产品仅可用于科研实验,严禁用于临床医疗及其他非科研用途!